Eine Schule der besonderen Art

Fachoberschule für Landwirtschaft Auer
Schlossweg 10, I-39040 Auer, Tel. 0471 81 05 38
E-Mail: os-ofl.auer@schule.suedtirol.it
PEC: ofl.auer@pec.prov.bz.it

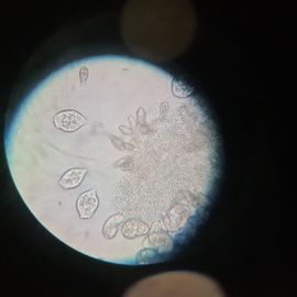
Erstaunliches Leben im Wassertropfen

Beim Mikroskopieren des Heuaufgusses entdeckten die Schüler:innen der 2C eine verborgene Welt voller Mini-Wunder – ein Wassertropfen voller Überraschungen.